Dr. med. Amir Karandish und Kollegen

Fachärzte für Augenheilkunde

Tempelhofer Damm 125
3. OG (Fahrstuhl)
12099 Berlin

Telefon: 030 75702353
Fax: 030 75702354
eMail: praxisteam@augenarzt-berlin-tempelhof.de

QR-Code mit Kontaktdaten

Qualitätsmanagement nach DIN EN ISO 9001:2015

A A A

Wissenswertes über das Auge

Erfahren Sie Wissenswertes rund um das Auge. Lesen Sie, was Fehlsichtigkeit ist, welche Möglichkeiten der Behandlung es gibt und vieles mehr.

Bild einer fotografischen Verlaufskontrolle eines Bindehautnaevus

Bild einer Hornhauttopographie

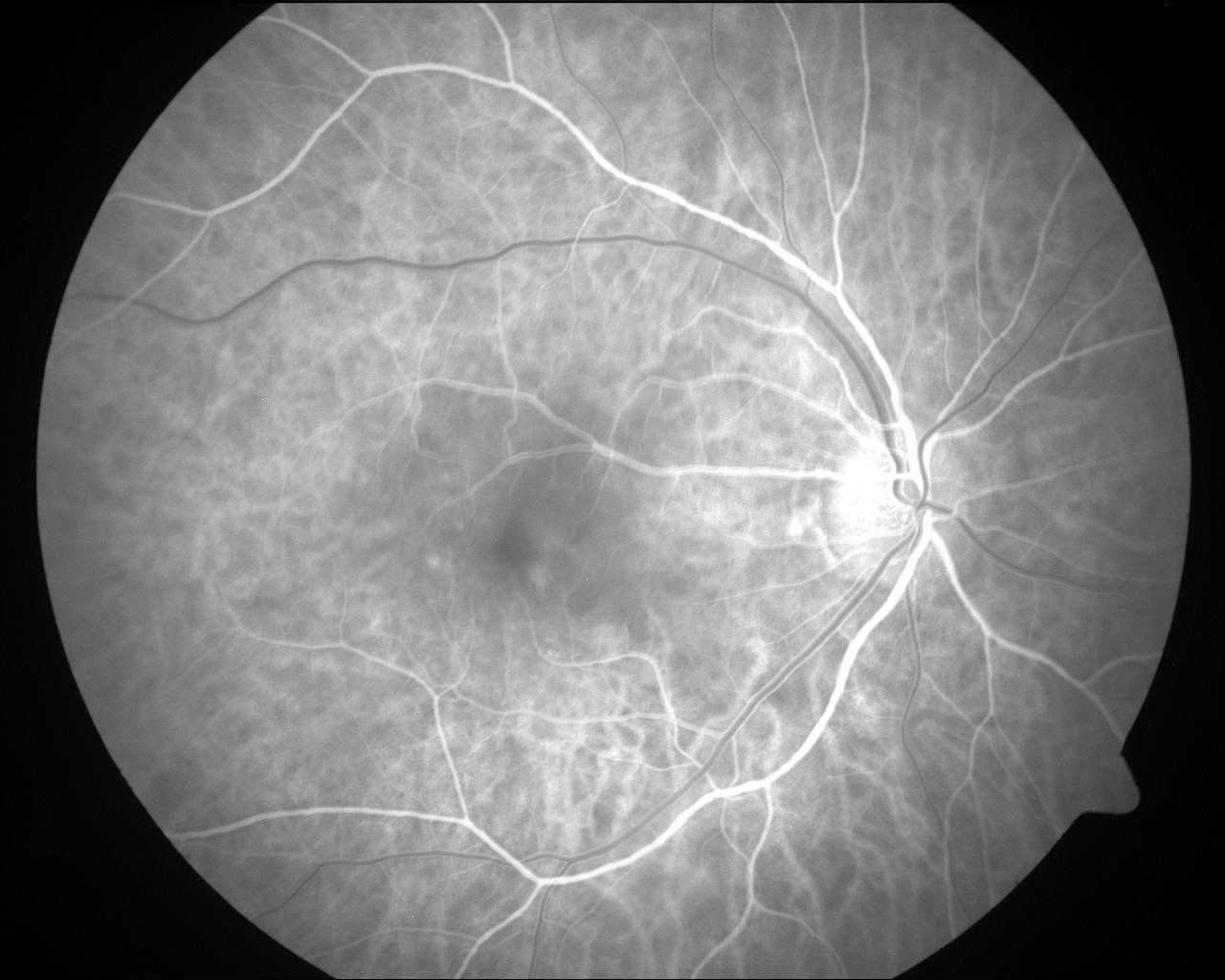
Bild einer Fluoreszenzangiographie